212 100 733
918 367 355
WhatsApp
Faqs
Renúncia
Viaoral
Clínica Médica Dentária
Sidebar
×
Início
Clínica
Quem somos
Código Deontológico
Legalização
Certificações
Perguntas Frequentes
Serviços
Os nossos serviços
Parcerias
Protocolos
Convénios
Info
Galerias
O nosso espaço
Gabinetes
Atendimento
Equipamentos
Contacto
Pesquisar...
Início
Clínica
Quem somos
Código Deontológico
Legalização
Certificações
Perguntas Frequentes
Serviços
Os nossos serviços
Parcerias
Protocolos
Convénios
Info
Galerias
O nosso espaço
Gabinetes
Atendimento
Equipamentos
Contacto
Escova de dentes elétrica
Entrada
Info
Escova de dentes elétrica
Escova de dentes elétrica
Escova de dentes elétrica é uma escova de dentes que faz movimentos rápidos, automáticos das suas cerdas.
Escova de dentes
Lavagem
Ler mais ...
Fio Dental
O fio dental é um utensílio importante utilizado na higiene bucal e deve ser utilizado no mínimo uma vez por dia.
Higiene
Limpeza
Higiene Oral
Ler mais ...
Cárie
A cárie dentária pode ser definida como uma destruição localizada dos tecidos dentais causada pela ação das bactérias.
Higiene
carie
Higiene Oral
Ler mais ...
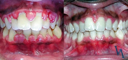
Gengivite
A gengivite é uma inflamação que ocorre na gengiva, decorrente da falta de uma boa higienização.
Doenças
Higiene
gengivite
Ler mais ...
Periodontite
Periodontite é um grupo de doenças inflamatórias que afetam os tecidos periodontais, como os tecidos que envolvem e fixam o dente à cavidade bucal.
Doenças
Ler mais ...
Início
Anterior
1
2
Seguinte
Fim
Pág. 2 de 2
Os nossos
Serviços
Cirurgia Oral
Dentisteria
Endodontia
Higiene Oral
Implantologia
Oclusão
Odontopediatria
Ortodontia
Periodontologia
Prostodontia
Lista de
Categorias
Info
Clínica
Quem somos
Código Deontológico
Legalização
Certificações
Perguntas Frequentes